Tooth Erosion
- Vista Holding
- Feb 23, 2019
- 2 min read
Updated: Mar 16, 2024
Have you ever noticed that your teeth look thinner than they used to? Maybe even a bit darker? Some wear is inevitable as we age, but excessive wearing away of the tooth surface can have many causes.
According to one recent study, general dental erosion was found in 28% of 15 year olds and 34% of 17 year olds. Basically that means that erosion prevalence is rising as we chronologically age. Additionally, severe dental erosion was found in nearly 20% of adolescents (age 15 to 17). That’s almost 1 out of every 5 teenagers.
Statistics like this are alarming, since erosion of teeth will only lead to bigger dental problems in the future – usually tooth sensitivity, nerve exposure and even breakage of the teeth involved.
This bio-corrosion of teeth is a multifactorial issue that needs to be addressed at an early age, before damage is done, as the damage is usually irreversible.
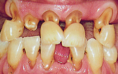
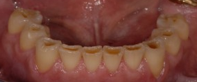
Tooth erosion can look different depending on the cause. Here are a few different scenarios.
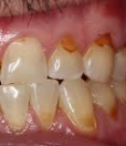
Fronts of teeth are eroded
Teeth edges are eroded
These are the many causes of tooth erosion:
• Clenching or grinding of teeth
• Acidic foods and drinks (carbonated beverages, some bottled flavored waters, ACV or lemon water)
• Medications
• GERD –gastro-esophageal reflux disease
• Eating disorders (vomiting after eating- anorexia or bulimia)
• Overbrushing with electric toothbrushes or hard bristle toothbrushes
• Abrasive toothpastes
• Acidic saliva pH (usually due to diet or toxicity in system)
• Mineral deficiencies
• Vitamin deficiencies
• Swimming in chlorinated pools (See our blog Swimming Can Be Harmful to Your Teeth
All of the above are correctable, with simple lifestyle modifications. Be sure to ask at your next dental appointment on how we can best address these necessary changes in habit, diet or nutrient supplementation. By being proactive now, you will prevent bigger dental problems in the future.
If you like this post, ypu may also like: Ozone Dental Therapy for Dental Cavities








Comments